骨折不愈合的分類(classification of non-union)
骨折不愈合的分類(classification of non-union)
不穩定的骨折就必須開刀固定,此時骨折是經過穩定的固定及血液中的血小板來產生成骨細胞促進骨頭愈合,但還是會有5%到10%的機率因各種原因導致癒合不佳。此時可以使用血小板的外泌體局部注射至骨不愈合處,促進骨頭愈 合。
而骨不愈合,通常為以下三種原因導致:
- 使用了不正確的鋼板固定:導致骨折處不穩定,進而成骨細胞生長困難而產生不會愈合。(圖1)
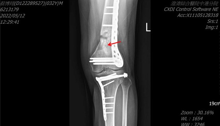
- 不癒合處血液供應不良:如果沒有血流,就不會有血小板製造成骨細胞,促進愈合,通常是因為纖維組織的生長至骨折處阻擋造成血流減少或植入不具有血流的鈣粉。(圖2)
- 鋼板斷裂產生不穩定而造成的不愈合:在骨尚未癒合時鋼板不耐負重而斷裂。(圖3)
所以在注射血小板外泌體前必須要先了解,如果是在不穩定的狀態下注射,失敗率會很高,如果是有纖維組織的阻擋,那我們必須要先將纖維組織移除,再注射血小板外泌體,而如果是鋼板斷裂,就必須再次手術重新固定。
總而言之,在穩定的固定下注射血小板外泌體,會有較高的成功率,但為了要預防有纖維組織或曾經植入不具血流的鈣粉,導致血液供應不良,我們必須要盡量讓骨不愈合的地方,有血流通過,透過reaming(攪動),再注射血小板外泌體,將會提高注射成功率。
If the bone fracture is unstable, it must be fixed by surgery. At this time, the fracture is stabilized, and the platelets in the blood generate osteoblasts to facilitate bone healing. However, after surgical fixation, 5% to 10% of fractures may still not heal.
At this time, ACS can be injected into the nonunion site to promote bone healing. Bone nonunion often occurs for several reasons
First, improper plate fixation causes instability and nonunion (Figure 1). In this case, even if ACS is injected, the instability will prevent the production of osteoblasts and cause bone nonunion.
Second, the blood supply to the non-union site is inadequate. Without blood flow, there will be no platelets to produce osteoblasts to promote healing (see Figure 2). Bone nonunion is often caused by fibrous tissue obstruction or the implantation of calcium powder without blood flow that blocks healing.
Third, the fracture of the steel plate causes instability and non-healing (Figure 3). Therefore, when injecting ACS, it is important to understand that if the steel plate is unstable, the injection failure rate will be very high. If there is fibrous tissue growth, we must remove the fibrous tissue and then inject platelet exosomes to be successful. If the plate breaks, another surgery is necessary to fix it.
In summary, injection of nonunion under stable fixation will have a higher success rate. However, to prevent poor blood supply caused by fibrous tissue or calcium powder without blood flow that has been implanted, we must try our best to allow blood flow to the nonunion site. Through reaming, the injection of ACS will increase the success rate of the injection.
(圖一) 不夠粗大的骨髓內釘產生不穩定的固定搖晃,而使骨不易生成
(圖二) 植入骨粉,骨粉沒有血液供應,會阻礙血流通過產生不癒合
(圖三) 骨內固定鋼釘斷裂造成不穩定,產生不癒合