小朋友的大拇趾外翻如何治療
2025-12-22
大拇趾外翻,在成年人中是屬於非常常見的,尤其是年紀大的老人家,常因為大拇趾外翻的問題疼痛難耐,想透過手術改善。其手術方法是將大拇趾骨頭截斷,再用鋼釘固定。手術過程中難免疼痛並且所使用的鋼釘需自費,術後也需要使用拐杖走路,所以精神與花費上的消耗也不少。
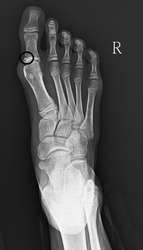
而小朋友發生大拇趾外翻的比率雖然沒有大人多,但依然有不少小朋友為此感到困擾,也會造成未來成年後的疼痛。因此我們可以趁小朋友進入青春期前,大約10歲左右時進行手術,其手術的方式與成年人的相較之下較為簡單。只需要將大拇趾內側一半的生長板破壞掉使其不在生長,(圖片 圓圈處)在外側生長板的生長下就能長出正常沒有外翻的大拇趾,手術不僅簡單也不需要鋼釘固定,疼
痛程度也相對小了很多。與其以後動大手術,不如趁尚未長大前,用簡單的手術解決,以免成人後再接受更大的痛苦。

